靶点星选第三期|核内参PARP-商家动态-资讯-生物在线

靶点星选第三期|核内参PARP

作者:北京索莱宝科技有限公司 2025-12-12T00:00 (访问量:13402)

靶点介绍

PARP蛋白是细胞内的关键“DNA损伤传感器”。其主要功能是识别DNA单链断裂,并通过催化合成聚ADP核糖链来招募其他修复蛋白,启动并完成DNA损伤修复,从而维持基因组的稳定性。基于这一核心功能,PARP抑制剂被开发为重要的抗癌药物,通过抑制PARP的活性,使携带BRCA等特定基因突变的癌细胞因无法修复DNA而死亡,这种机制被称为“合成致死”。因此,PARP不仅在基础的DNA修复中扮演核心角色,也是癌症靶向治疗中的一个成功靶点。

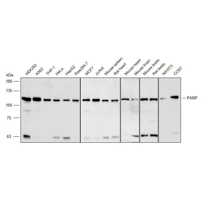
PARP在细胞凋亡研究中常被用作重要的内参指标。其优势在于能够同时检测全长PARP(116kDa)其特异性切割片段(89kDa)。在生命科学研究中,它常被用于Western Blot等实验,当全长PARP条带保持稳定而切割片段明显出现时,不仅能验证凋亡的发生,还能证明样品处理和质量的一致性,为目标蛋白的变化提供可靠的参照基准。这种双重验证功能使其在凋亡相关研究中成为独特且有价值的内参工具。

蛋白分子量

PARP蛋白质的标准序列1014个氨基酸,理论分子量约113kDa,实际蛋白分子量约110~125kDa。

亚细胞定位

PARP主要定位于细胞核,特定条件下出现在细胞质。当细胞凋亡程序被激活时,活化的Caspase酶会特异性切割PARP,将其从116kDa的全长蛋白切割成24kDa和89kDa两个片段。这个切割过程会促进其从细胞核转移到细胞质中。在细胞质中检测到89kDa的PARP切割片段是细胞发生凋亡的明确标志之一。另外,在特定的细胞类型或病理状态中,也会观察到PARP在细胞质中的异常定位。

组织分布

PARP蛋白在机体组织中广泛分布,但表达水平存在差异。其中,PARP-1作为主要亚型,在代谢活跃、增殖旺盛或易受DNA损伤的组织中表达较高,例如淋巴结、脾脏等免疫器官,以及生殖系统的睾丸和卵巢中。此外,在多种癌细胞(如肝癌、胰腺癌、结直肠癌)中,PARP-1的表达会显著上调,这使其成为重要的肿瘤标志和治疗靶点。

数据库链接分享

SwissProt

P09874 Human

SwissProt

P11103 Mouse

SwissProt

P27008 Rat

 

产品亮点与展示

产品亮点

索莱宝开发的PARP抗体具有广泛的物种交叉反应性和高度特异性,适用于多样的样本类型与研究场景。该抗体可稳定检测人、大鼠、小鼠的PARP蛋白,其应用亦经猴样本证实,能全面覆盖不同实验模型的需求。在应用性能上,该抗体经多种关键技术验证,包括Western Blot(WB)、免疫组化(IHC)、免疫荧光(IF)和流式细胞术(FCM),均表现出色,呈现清晰特异的信号与洁净的背景,有力保障实验数据的可靠性与可重复性。

产品展示

1

K200026M

ActivAbTM Anti-PARP Monoclonal Antibody

抗体类型:鼠单抗

验证图片:

图片图片

2

K200027M

ActivAbTM Anti-PARP Monoclonal Antibody

抗体类型:鼠单抗

验证图片:

图片图片

3

K012095RR

ActivAbTM Anti-PARP 1 Recombinant Antibody

抗体类型:重组兔单抗

验证图片:

图片图片相关产品

北京索莱宝科技有限公司 商家主页

地 址: 北京市北京经济技术开发区环科中路16号26幢3层301

联系人: 索莱宝-龚思雨

电 话: 010-50973130

传 真:

Email:3193328036@qq.com

相关咨询
ADVERTISEMENT